Diagnostic Value of Multiplanar Imaging in Fracture Evaluation: Pseudo-Jones Fracture
A 29-year-old man presented to the emergency department with pain in the 5th metatarsal following an ankle sprain.
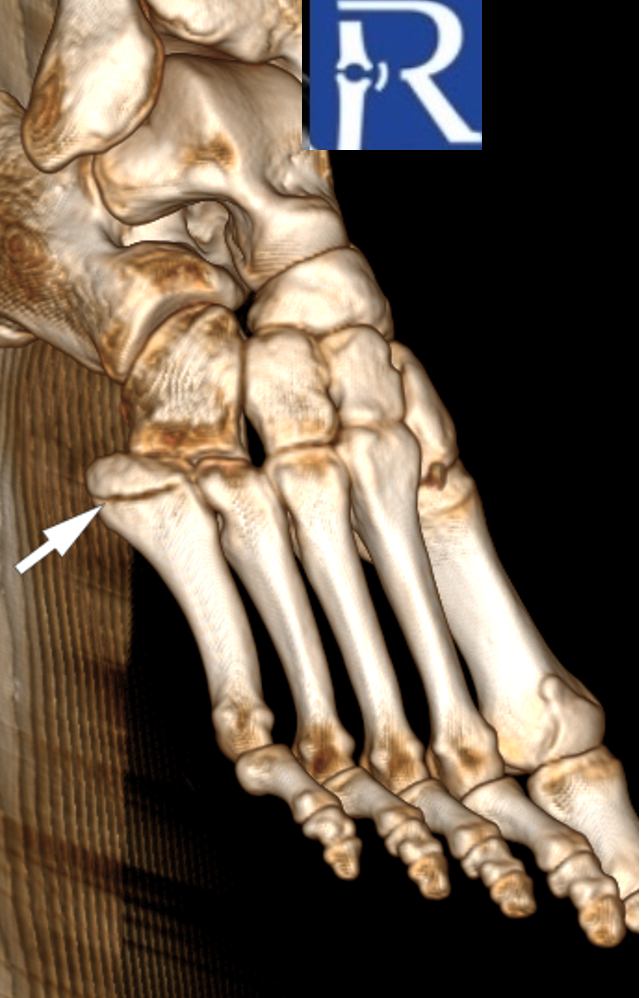
A foot radiograph revealed a suspicious radiolucency at the base of the 5th metatarsal (zone I). CT demonstrated a subtle fracture line on axial slices (indicated by white arrows). On reformatted sagittal and coronal planes, the non-displaced fracture line was clearly visible (white arrows), consistent with a pseudo-Jones fracture. Because the fracture can appear equivocal on plain radiographs and axial CT slices, long-axis reconstructions are essential for accurate evaluation in trauma patients.
Avulsion fractures of the 5th metatarsal tuberosity or styloid (pseudo-Jones fractures) are the most common foot avulsion injuries, accounting for more than 90% of fractures involving the base of the 5th metatarsal (zone I). True Jones fractures occur at the metaphyseal–diaphyseal junction (zone II, yellow), while stress fractures typically arise in the proximal diaphysis (zone III, blue).
For optimal fracture assessment, extremity CT scans should always be reviewed in all three planes.
Pseudo-Jones fractures typically appear as a transverse or oblique radiolucent line at the base of the 5th metatarsal tuberosity (zone I, purple), often associated with cortical step-off or minimal displacement. On plain radiographs, they may be subtle and can be obscured by overlapping structures, leading to underdiagnosis. CT, particularly with multiplanar reformations, improves detection by delineating the fracture line and ruling out intra-articular extension. MRI is not routinely required but can demonstrate associated marrow edema when the fracture is radiographically occult. Importantly, differentiation from true Jones fractures, which occur at the metaphyseal–diaphyseal junction (zone II, yellow), and stress fractures, typically arising in the proximal diaphysis (zone III, blue), is crucial, as treatment strategies and healing potential vary significantly between these entities.


0 COMMENTS
These issues are no comments yet. Write the first comment...